Pr Eric Souied

Pr Eric Souied

Maculopathie liée à l'âge

Maculopathie liée à l'âge

La macula est une petite zone située au fond de l'oeil, au centre de la rétine, proche du nerf optique, responsable de la vision centrale et qui permet de voir les objets avec précision et de percevoir les couleurs. Plusieurs affections peuvent endommager la macula et notamment avec l'âge une tendance à la détérioration irréversible.

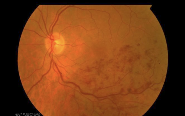
La maculopathie liée à l'âge (MLA) représente le stade précoce de vieillissement de la macula. Elle n'est pas ou peu symptomatique sur le plan visuel.

Elle est caractérisée par la présence d'altérations de l'épithélium pigmentaire, et /ou de dépôts rétiniens appelés drusen au niveau de la macula. L'existence d'une MLA à un ou deux yeux entraîne un risque de développer une DMLA à 5 ans pouvant aller jusqu'à 50%. Selon le stade de la MLA, des traitements préventifs par antioxydants peuvent être prescrits.

Il est important de détecter au plus tôt l'apparition d'une MLA par des examens visuels dès 50 ans. Certains facteurs peuvent accélérer le passage vers une dégénérescence maculaire comme le tabagisme, une surcharge pondérale ou des antécédents héréditaires. A l'inverse, une alimentation riche en oméga-3 à longue chaine (DHA) et en lutéine (un caroténoïde) ralentissent le passage vers une DMLA avérée.

DMLA

DMLA

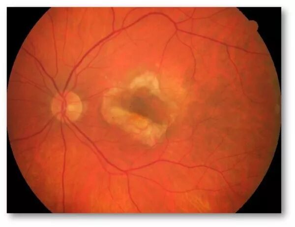
La dégénérescence maculaire liée à l'âge (DMLA) est une condition oculaire courante touchant principalement les individus qui ont franchi le cap de la cinquantaine. Elle endommage la macula de façon irréversible.

Signe Clinique : Les premiers signes cliniques de la DMLA sont les déformations des lignes, appelées métamorphopsies, et l’apparition d’une tache au centre, appelée scotome.

Consultez en urgence: Doctolib

Cette maladie provoque une vision centrale floue ou perdue, avec des conséquences très gênantes pour de nombreuses tâches du quotidien comme la lecture et la conduite. On estime que la maladie concerne actuellement plus d'un million de Français.

La DMLA se présente sous deux formes :

  • La forme atrophique ou sèche, (plus courante caractérisée par l'amincissement de la rétine). Elle résulte de l’atrophie progressive des couches de l’épithélium pigmentaire et des photorécepteurs. Le retentissement visuel est notable mais ce processus est lentement évolutif, sur plusieurs mois et années.
  • la forme exsudative ou humide, moins courante, caractérisée par la croissance anormale de vaisseaux sanguins. L'apparition de néovaisseaux choroïdiens dans la macula sont responsables d’œdèmes et d’exsudations intra ou sous-rétiniennes, ou d’hémorragies rétiniennes. Son évolution est le plus souvent rapide, évoluant en quelques semaines.
  • Il peut également exister des formes mixtes. Dans ces formes, l’atrophie et les néovaisseaux co-existent.


Le professeur Eric SOUIED est reconnu internationalement comme l'un des meilleurs spécialistes de la DMLA. En 1998, lors de son doctorat en Génétique Humaine, il a identifié le premier polymorphisme génétique impliqué dans la DMLA.

La cataracte

La cataracte

La cataracte est une opacification progressive du cristallin, la lentille naturelle de l'œil, qui normalement est claire et transparente. Avec l’âge, la structure du cristallin change et sa transparence diminue. La vue baisse alors de loin comme de près et ne peut être corrigée par des lunettes.


Les symptômes courants comprennent une vision floue, une sensibilité accrue à la lumière et une vision nocturne réduite. Les cataractes sont généralement liées au vieillissement, mais peuvent

également être causées par des traumatismes, à la suite de certaines maladies ou après absorption de certains médicaments. Elles peuvent aussi être présentes dès la naissance dans certains cas particuliers.


L'opacification du cristallin entraîne une diminution de la vision qui peut plus ou moins sévère. Dès que la gène devient trop importante, le traitement consiste en une opération chirurgicale pour remplacer le cristallin opacifié par une lentille artificielle.

Rétinopathie diabétique

Rétinopathie diabétique

Le diabète est une maladie qui provoque une hyperglycémie chronique (hausse anormale du taux de sucre dans le sang). Cette hyperglycémie entraine une inflammation répétée des capillaires rétiniens qui aboutit à leur occlusion.

La rétinopathie diabétique est une complication fréquente du diabète. Elle affecte 50 à 80 % des personnes qui ont eu le diabète de type 1 ou de type 2 pendant 20 ans ou plus. Il est donc important pour ces personnes de faire contrôler régulièrement leur vue afin de détecter et de traiter cette affection le plus tôt possible. L'examen du fond d’œil doit être fait dès la découverte du diabète, et ensuite au moins une fois par an.

La rétinopathie diabétique provoque des dommages irréversibles à la rétine. C'est l'une des principales causes de cécité dans les pays développés.

L’occlusion du capillaire entraine ce qu’on appelle une ischémie rétinienne, c'est-à-dire a une insuffisance d’apport sanguin au niveau de la rétine. Il existe deux types de rétinopathie diabétique : la rétinopathie diabétique précoce et la rétinopathie diabétique avancée. La forme la plus courante est la rétinopathie diabétique non proliférative (NPDR), au cours de laquelle de nouveaux vaisseaux sanguins se forment de manière anormale. Rétinopathie diabétique non proliférante minime, modérée ou sévère, où on retrouve des microanévrysmes, des hémorragies, des veines dilatées.

L’ischémie rétinienne quand elle est importante, est le point d’appel d’une néovascularisation, c'est-à-dire, la formation de vaisseaux anormaux au sein de la rétine. Ces néovaisseaux sont redoutables, car ils se compliquent d’hémorragie, de décollement de rétine voire de glaucome néovasculaire. Ces complications sont dramatiques puisqu’elles peuvent entrainer une cécité. La rétinopathie diabétique peut évoluer vers une forme plus sévère, appelée rétinopathie diabétique proliférative.


La rétinopathie diabétique peut provoquer la formation de vaisseaux sanguins anormaux sortant de la rétine et bloquant l'écoulement du liquide hors de l'œil. Elle peut également causer une hémorragie intra oculaire, la formation de cicatrices à l'arrière de l'œil ou même un décollement de la rétine.


Le diabète peut aussi provoquer des altérations au niveau de la macula. La macula est le centre

de la rétine, c’est la zone de la rétine qui permet de voir une image nette. Au niveau maculaire, le diabète peut entrainer une accumulation anormale de fluide, ce qu’on appelle œdème maculaire qui entraine une baisse de vision.

Le traitement de la rétinopathie diabétique vise à lutter contre les dommages causés aux vaisseaux sanguins de la rétine par des niveaux élevés de sucre dans le sang. Ces vaisseaux peuvent gonfler et fuir, ou se fermer, empêchant le sang de circuler. Parfois, des vaisseaux sanguins anormaux et nouveaux se forment sur la rétine.

Dystrophies maculaires et rétiniennes héréditaires

Dystrophies maculaires et rétiniennes héréditaires

Les dystrophies héréditaires représentent un ensemble d’affections hétérogènes, retrouvées avec une fréquence approximative de 1 pour 3 500 individus dans la population française et concernant environ 40 000 patients sur le territoire français. Il s’agit donc de maladies dites «rares », dont le diagnostic est parfois présumé ou incertain.


Les dystrophies rétiniennes héréditaires concernent l’ensemble du tissu rétinien. Outre la rétinite pigmentaire, de nombreuses affections rétiniennes héréditaires entrent dans le cadre de cette consultation, telles que la choroïdérémie, l’atrophie gyrée, l’albinisme oculaire mais aussi des maladies mitochondriales ou métaboliques.


Les dystrophies maculaires héréditaires concernent exclusivement ou préférentiellement le tissu maculaire. Il s’agit là encore d’un ensemble très hétérogène d’affections, incluant la dystrophie maculaire de Stargardt, le fundus flavimaculatus, la dystrophie maculaire de Best, la dystrophie pseudovitelliforme de l’adulte, les dystrophies des cônes, les dystrophies réticulées, la dystrophie maculaire de Sorsby, le rétinoschisis lié à l’X, les drusen des sujets jeunes.


Un bilan basé sur des examens morphologiques et fonctionnels permettra de distinguer ces différentes affections.

Maculopathie myopique

Maculopathie myopique

Maculopathie myopique

La myopie se définit par un globe oculaire plus long que la normale, nécessitant une correction optique (mesurée en dioptrie) pour la vision de loin afin de focaliser l’image sur la rétine.


Les complications de la myopie forte

La myopie forte se définit comme une myopie supérieure à 8 -dioptries; elle constitue une pathologie complexe, elle peut être à l’origine de nombreuses complications.

Au niveau maculaire, la myopie forte peut se compliquer de néovaisseaux choroïdiens, d’atrophie, de rupture de membrane de Bruch, de retinoschisis ou de trou maculaire.

La myopie forte peut aussi se compliquer de glaucome, qui est en général plus sévère que dans la population générale. Enfin, la myopie forte se complique de cataracte, qui arrive plus précocement que dans la population générale.

Occlusion veineuse rétinienne (OVR)

Occlusion veineuse rétinienne (OVR)

L'occlusion veineuse rétinienne (OVR) est la conséquence d’un ralentissement soudain de la

circulation sanguine dans les veines de la rétine, qui peut avoir un retentissement sur l’ensemble de la circulation sanguine de la rétine, en particulier, en amont, sur la circulation du sang dans les capillaires et dans les artérioles rétiniennes. Cette perturbation de l’oxygénation de la rétine est à l’origine de troubles visuels plus ou moins sévères.


L'OVR peut être classée en deux types principaux :

  • L'occlusion de la branche veineuse rétinienne (OBVR). Cela se produit lorsque l'une des petites veines secondaires est bloquée.
  • L'occlusion de la veine centrale de la rétine (OVCR). Cela se produit lorsque la principale veine de la rétine est bloquée. L’occlusion de la veine centrale de la rétine a des conséquences plus graves qu’une occlusion d’une branche veineuse qui ne concerne qu’une partie de la rétine.


Parmi les causes les plus fréquentes, on retrouve les facteurs de risques vasculaires comme l’hypertension artérielle, l’augmentation du taux de lipides (graisses) sanguins, le diabète, le tabagisme, le surpoids, mais aussi l’élévation de la tension oculaire (glaucome). L’apnée du sommeil est également un facteur favorisant souvent rencontré.


L'évolution d'une occlusion de la veine centrale de la rétine peut être très variable. Il y a une possibilité de récupération complète ou quasi-complète dans environ 20 % des cas ou au contraire un risque de baisse majeure de la vision.

La durée d’évolution des occlusions de la veine centrale de la rétine peut se résumer à quelques semaines pour les cas les plus favorables, ou devenir chronique dans les cas d’aggravation lente et progressive.


Diagnostic et évolution

Si l’occlusion veineuse rétinienne est suspectée dès l’examen du fond d’œil, il est très utile de confirmer le diagnostic par une angiographie à la fluorescéine qui met parfaitement en évidence la circulation

sanguine dans les vaisseaux rétiniens et en analyse les conséquences. La tomographie en cohérence optique (OCT) apporte des informations utiles pour évaluer l’œdème maculaire qui est une conséquence très fréquente des occlusions veineuses.