Pr Eric Souied

Pr Eric Souied

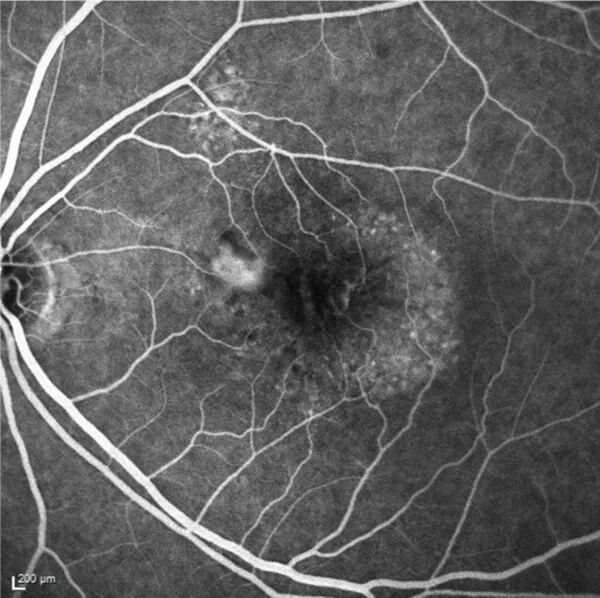
Angiographie

Angiographie

L’angiographie est un examen d'imagerie rétinienne qui permet d’étudier les vaisseaux sanguins non visibles sur simples clichés du fond de l'oeil. Elle a pour but de détecter des troubles de la vascularisation mais aussi d'apprécier la qualité des tissus rétiniens. Elle reste l'examen de référence pour le diagnostic de la plupart des pathologies rétiniennes et maculaires.

L'angiographie est un examen sûr avec très peu de risques d'effets indésirables.

Il existe deux types d'angiographie, l'angiographie à la fluorescéine, et l'angiographie au vert d'indocyanine (ICG) utilisant des colorants différents et permettant de visualiser différemment la rétine et la choroïde.

Ingénierie ultra-grand champ

Ingénierie ultra-grand champ

L’imagerie ultra-grand champ (UGC) offre la possibilité d’imager la quasi-totalité du fond d’œil sur un seul cliché.

On parvient ainsi à visualiser sur des clichés à 200° l’ensemble des lésions sans avoir recours à des montages de clichés de 50° ce qui optimise le diagnostic permet de détecter plus facilement des anomalies vasculaires de la périphérie rétinienne. Il s'agit d'une innovation en imagerie retinienne qui a radicalement modifié nos pratiques diagnostiques et thérapeutiques.

OCT

OCT

La Tomographie en Cohérence Optique (habituellement appelée par son acronyme anglais OCT) est un procédé d’imagerie médicale qui permet d'obtenir des images en coupe à différentes profondeurs, et de reconstituer l'ensemble de l'œil selon un principe proche de celui du scanner. Il utilise des rayonnements infra rouges qui sont non irradiants et ne présente donc aucun danger.


On peut ainsi obtenir des images de la rétine, du nerf optique, de la cornée, de la chambre antérieure, et de l’angle irido-cornéen. L'OCT est donc utilisé pour la détection et le suivi du glaucome, de la DMLA et des œdèmes maculaires diabétiques.

OCT - Angiographie

OCT - Angiographie

L’OCT-Angiographie ou OCTA est une angiographie combinée à la tomographie par cohérence optique (OCT), elle ne nécessite aucune injection de produit de contraste. Cette technologie relativement récente a permis de découvrir de nouvelles pathologies, de détecter de façon précoce infra clinique, des maculopathies naissantes.