Pr Eric Souied

Pr Eric Souied

Injection intra-vitréenne

Injection intra-vitréenne

Injection intra-vitréenne

L'injection intra-vitréenne (IVT) est un acte médical consistant à injecter un médicament à l'intérieur de l'œil, derrière la rétine. Elle est surtout utilisée dans le traitement de la DMLA de forme humide et permet de stabiliser la maladie, mais aussi dans toutes les formes d'oedèmes maculaires.


L'IVT n'est pas douloureuse car elle est précédée par des instillations répétées de collyre anesthésique et ne présente pas de danger lorsqu'elle est effectuée par un ophtalmologiste expérimenté.


Les injections sont réalisées sous anesthésie locale, dans des conditions d’asepsie semblables au bloc opératoire. Une injection ne dure que quelques secondes. Il peut persister une sensation de grain de sable dans les 24 heures suivant l’injection, principalement due aux produits désinfectants que l’on utilise avant de réaliser l’injection.

Laser rétinien,

Laser rétinien,

Laser rétinien,

Le laser est aujourd'hui utilisé pour traiter de nombreuses maladies de l'œil, seul ou en complément d'autres traitements. Plusieurs types de lasers médicaux existent en ophtalmologie , adaptés chacun à un usage spécifique.


  • Pour le traitement des glaucomes, le laser SLT est utilisé pour améliorer le drainage de l'humeur aqueuse afin de réduire la tension interne de l'œil.
  • La photocoagulation au laser rétinien permet de traiter des zones pathologies de la rétine, comme des zones d’ischémie, de prolifération néovasculaire, ou des anévrysmes rétiniens. Le traitement est réalisé sous anesthésie locale et n'est généralement pas douloureux. Dans la majorité des cas, il n'est pas destiné à améliorer la vision mais permet d'éviter une dégradation ultérieure.
  • Un autre type de laser, dit laser Yag, permet de traiter l’opacification de la capsule postérieure, dite « cataracte secondaire ».

la photothérapie dynamique

la photothérapie dynamique

la photothérapie dynamique

La photothérapie dynamique (PDT) consiste à combiner une source de laser dit « laser froid » et une injection intraveineuse d’un produit nommé verteporphine. La PDT garde une indication dans quelques pathologies maculaires telles que les pachychoroïdes. Le Pr Eric Souied a plus de 25 ans d'expérience de pratique de la Photothérapid dynamique.

la photobiomodulation.

la photobiomodulation.

la photobiomodulation.

La photobiomodulation, consiste a obtenir la régression des drusen maculaires, apres exposition à une lumière infrarouge de longueur d'onde ciblé. Le méchanisme repose dur l'activation des mitochondries de l'épithelium pigmentaire rétinieen, par la voie de la cytochrome C oxydase.

Chirurgie de la rétine

Chirurgie de la rétine

Chirurgie de la rétine

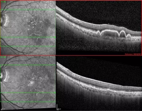
Les opérations par vitrectomie permettent de traiter certaines maladies de la rétine et de la macula, telles que le trou maculaire, les membranes epi-retiniennes, ou des decollements de rétine complexes.


Elles se déroulent le plus souvent sous anesthésie locale (péri bulbaire) et sont indolores. L’opération consiste à aspirer le vitré à l’aide d’un aspirateur microscopique: le vitréotome. Une fois le vitré retiré, les traitements de la rétine et de la macula sont réalisés : pelage, laser, cautérisation…


De l’air, du gaz ou du silicone sont ensuite injectés dans l’œil pour aider la rétine à cicatriser, on parle de tamponnement. La vitrectomie assure notamment le traitement du trou maculaire de la membrane épirétinienne ou du décollement de la rétine.

Chirurgie de la cataracte

Chirurgie de la cataracte

Lorsque la gêne visuelle devient importante, le seul traitement possible de la cataracte est une opération chirurgicale. Celle-ci consiste à retirer l'intérieur du cristallin qui est opaque, par une petite incision, après fragmentation dans l’œil, en gardant l’enveloppe qui est restée transparente. En fin d’intervention, un implant, qui est une lentille, est glissé dans cette enveloppe.


Cette intervention peut se faire sous anesthésie locale en chirurgie ambulatoire. Une protection oculaire est nécessaire pendant quelques jours, puis dans le mois qui suit l’intervention, un traitement par collyres est institué et une prescription de lunettes est faite.